Flexibel. Sanft. Einfach in der Anwendung.
Häufig bei Frühbehandlungen von Kindern oder für kleinere Korrekturen eingesetzt, sind sie leicht zu tragen und herauszunehmen – ideal für wachsende Lächeln oder weniger komplexe Fälle.
Herausnehmbare Spangen sind flexibel, schonend und wirkungsvoll. Sie schaffen Platz oder unterstützen das Kieferwachstum und lassen sich zum Reinigen oder bei Anlässen einfach herausnehmen.
Sieben einfache Schritte
Ihr Weg mit herausnehmbaren Zahnspangen
Unsere Funktionen
Warum unsere Patient:innen herausnehmbare Zahnspangen bevorzugen
Mehr erfahren
Was bedeutet KFO 360° eigentlich?
Jedes Lächeln ist einzigartig – genau wie unsere Betreuung. Von der Diagnose bis zur Behandlung nutzen wir moderne Technologien und einen persönlichen Ansatz, um Ihre kieferorthopädische Behandlung klar, angenehm und individuell zu gestalten. Sehen Sie sich das Video an, um zu erfahren, wie wir unsere Patienten in jedem Schritt unterstützen.
Ist eine herausnehmbare Zahnspange das Richtige für Sie oder Ihr Kind?
Wenn Sie eine Teilzeitlösung suchen oder nur eine leichte Zahnfehlstellung haben, können herausnehmbare Zahnspangen eine kluge Wahl sein.
Fehlbiss?
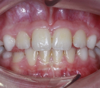
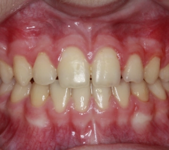
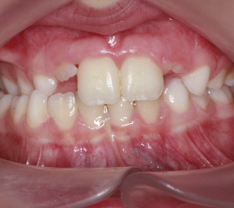
Vorher & Nachher – echte Ergebnisse mit herausnehmbaren Zahnspangen
Sehen Sie, wie herausnehmbare Zahnspangen die Zähne sanft über die Zeit bewegen – echte Ergebnisse, echte Geschichten.
Fehlbiss?
Vorher & Nachher – echte Ergebnisse mit herausnehmbaren Zahnspangen
Sehen Sie, wie herausnehmbare Zahnspangen die Zähne sanft über die Zeit bewegen – echte Ergebnisse, echte Geschichten.
Pflegehinweise für herausnehmbare Zahnspangen
-
Tägliche Reinigung
Reinigen Sie Ihre Spange täglich mit Zahnbürste. Bei Ablagerungen helfen Tabletten oder Zitronensäure, dann gründlich mit Wasser abspülen.
-
Sicher aufbewahren
Wenn Sie Ihre Spange nicht tragen, legen Sie sie immer in unsere Spangenbox, die wir Ihnen schenken – so ist sie bestens geschützt und geht nicht verloren.
Häufig gestellte Fragen
Die lose Zahnspange drückt – was tun?
Wenn Ihre lose Zahnspange drückt, schauen Sie bitte genau, wo der Druck entsteht.
Drückt die Spange auf die Zähne?
Bei jeder Kontrolle überprüfen wir den Halt und passen die Drähte an. Manchmal merkt man zu Hause, dass der Druck zu stark ist – dann muss der Draht nachjustiert werden.
Bitte vereinbaren Sie einen Termin und tragen Sie die Spange bis dahin nicht weiter.
Drückt die Spange auf das Zahnfleisch?
Ein verbogener Draht oder der Kunststoff kann am Zahnfleisch reiben und Druckstellen verursachen. Wir glätten die Stelle und versorgen sie mit Wundheilsalbe.
Bitte nicht weitertragen und Termin vereinbaren.
Kippelt die Spange und drückt gleichzeitig?
Das ist meist ein Zeichen dafür, dass zu oft geschraubt und zu wenig getragen wurde. Drehen Sie die Schraube 3–4 Mal zurück und testen Sie erneut. Wenn sie immer noch nicht passt, kommen Sie bitte zu uns.
Die Zahnspange ist beschädigt – was tun?
Was Sie tun sollten, hängt davon ab, welcher Schaden aufgetreten ist:
Wenn ein Draht verbogen oder locker ist und es weh tut, tragen Sie die Spange nicht und vereinbaren einen Termin.
Ist der Draht locker, aber es tut nicht weh, können Sie sie weitertragen; wir kontrollieren es beim nächsten Termin.
Ist der Draht gebrochen und scharf, bitte nicht tragen und Termin vereinbaren.
Ist der Draht gebrochen, aber glatt und schmerzfrei, können Sie die Spange bis zur Kontrolle weitertragen.
Wenn die Spange locker sitzt oder herausfällt, vereinbaren Sie bitte einen Termin – wir passen sie an.
Ist die Kunststoffplatte gebrochen und scharfkantig, nicht tragen und Termin vereinbaren.
Ist die Kunststoffplatte nur leicht gerissen und es tut nicht weh, können Sie sie vorerst weitertragen, rufen Sie aber an, wenn der Riss größer wird.
Wenn die Spange wackelt oder nicht mehr passt, drehen Sie die Schraube 3 Mal zurück und testen Sie erneut. Passt sie immer noch nicht, kommen Sie bitte zu uns.
Fühlt sich die Spange insgesamt unangenehm an, nicht weitertragen und Termin vereinbaren.
Wenn die Spange in zwei Teile gebrochen ist, sofort Kontakt aufnehmen – wir fertigen eine neue an.
Unser Tipp: Melden Sie sich lieber einmal zu viel als zu wenig – wir reparieren schnell, damit Sie die Spange wieder angenehm tragen können und die Behandlung reibungslos weiterläuft.
Wie kann ich Schäden an der Zahnspange vermeiden?
– Spange immer vorsichtig einsetzen und herausnehmen.
– Beim Sport und Essen besser herausnehmen.
– Immer in der Box aufbewahren, wenn sie nicht getragen wird.
– Regelmäßig und behutsam reinigen (kein heißes Wasser).
Die lose Zahnspange ist locker und passt nicht mehr richtig – was tun?
Wenn die Spange wackelt oder nicht mehr sitzt, wurde sie wahrscheinlich zu selten getragen. Oft wurde zwar regelmäßig geschraubt, aber zu wenig getragen – der Kiefer hat sich nicht angepasst.
Was Sie tun können: Drehen Sie die Schraube 3 Mal zurück und setzen Sie die Spange wieder ein. Wenn sie immer noch nicht sitzt, bitte keine weiteren Versuche – kommen Sie zur Anpassung.
Tut das Tragen einer losen Zahnspange weh?
Nein – normalerweise nicht. Nach dem Nachstellen oder Schrauben kann ein leichter bis mittlerer Druck auftreten, das ist normal und zeigt, dass die Spange wirkt.
Wenn Sie jedoch starke oder anhaltende Schmerzen haben, tragen Sie die Spange nicht weiter und melden Sie sich bei uns.
Ich habe Zahnschmerzen beim Tragen der losen Zahnspange – was tun?
Leichter Druck nach dem Nachstellen ist normal und klingt nach 1–3 Tagen ab. Wenn die Schmerzen zunehmen oder bleiben, kann ein Draht zu stark drücken oder die Spange nicht mehr richtig sitzen.
Bitte melden Sie sich, wenn der Schmerz länger als 3 Tage anhält, sehr stark ist oder zusätzliche Beschwerden wie Schwellungen auftreten. Wir überprüfen dann die Passung und nehmen die notwendigen Anpassungen vor.
Die Zahnspange fällt nachts heraus – was tun?
Wenn die Spange nachts aus dem Mund rutscht, sitzt sie nicht mehr optimal. So geht der kontinuierliche Druck verloren und die Behandlung verlangsamt sich.
Bitte vereinbaren Sie einen kurzen Kontrolltermin – wir passen sie so an, dass sie auch nachts sicher sitzt.
Wie lange muss mein Kind eine herausnehmbare Zahnspange tragen?
Die Tragezeit hängt vom Befund ab. In der aktiven Behandlungsphase sollte die Spange mindestens 14–16 Stunden täglich getragen werden, nicht nur nachts. Diese Phase dauert meist 12–18 Monate. Danach wird sie oft weiter nachts zur Stabilisierung getragen.
Ich habe die Zahnspange verloren – was soll ich tun?
Wenn die Spange nicht mehr auffindbar ist, melden Sie sich bitte sofort bei uns. Wir können rasch Ersatz anfertigen, damit die Behandlung nicht unterbrochen wird.
Wie schraube bzw. aktiviere ich die lose Zahnspange richtig?
Führen Sie den Schraubenschlüssel in das sichtbare Loch ein und drehen Sie in Pfeilrichtung bis zum Anschlag – niemals darüber hinaus.
test
Treatment costs vary depending on individual needs. Book a consultation for an exact quote.