Diskret. Effektiv. Unsichtbar

Lingualspangen sitzen an der Innenseite Ihrer Zähne und bieten die Vorteile einer klassischen Zahnspange – ohne dass es jemand bemerkt. Ideal für Erwachsene, Berufstätige und alle, die eine unsichtbare Lösung wünschen.

Termin buchen
Teen is showhing her lingual braces and is happy.

Anders als herkömmliche Spangen werden Lingualspangen hinter den Zähnen befestigt – individuell angefertigt, sind absolut diskret und hochwirksam. Als zertifizierte Spezialistin, Master of Science in Lingual Orthodontics und ehemaligen Mitarbeit & Mitentwicklung in der weltweit größten Lingualpraxis sind Sie bei uns in den besten Händen.

Fünf einfache Schritte

Maximale Ästhetik und Funktion – vereint für Sie

Zahnspangen für Teenager zeigt die Zahnärztin in Wolfratshausen der jungen Patientin, u. a. die innenliegende Zahnspange, auch Lingualtechnik genannt.
Schritt 1

Erstberatung

Wir sprechen über Ihre Ziele, scannen Ihre Zähne und erklären, was möglich ist.

eine Lingualspange bei einer Erwachsenen wird mit einem Spiegel gezeigt
Schritt 2

Digitale Diagnostik

Wir erstellen präzise 3D-Scans, Röntgen und digitale Kiefergelenksmessungen, um Ihren Biss und Ihren gesamten Kauapparat vollständig zu erfassen.

Lingualtechnik für Erwachsene mit kiefergelenksorienterter Zahnkorrektur
Schritt 3

Maßgeschneiderter 3D-Plan

Individuell für Sie entwickelt – für ein ideales Zusammenspiel von Kiefer, Muskeln und Zähnen mit unserem KFO360°-Konzept.

Erwachsener hält Modell mit unsichtbarere Zahnspange an Innenfläche der Zähnen als diskrete Zahnspange für Erwachsene
Schritt 4

Langfristige Ergebnisse

Mit unserem KFO360°-Konzept stellen wir sicher, dass Ihr Lächeln über Jahre hinweg stabil und ausgewogen bleibt.

Unsere Funktionen

Warum Erwachsene & Jugendliche Lingualspangen lieben

Im Alltag wirklich unsichtbar

Lingualspangen werden hinter den Zähnen befestigt – niemand sieht sie, wenn Sie lächeln, sprechen oder fotografiert werden.

Individuell für Sie gefertigt

Jedes Bracket und jeder Drahtbogen wird speziell für Ihren Biss angefertigt – mit exakten Zahnbewegungen für perfekten Sitz und noch bessere Ergebnisse.

Überraschend komfortabel

Wir verwenden die flachsten Lingualbrackets auf dem Markt – für eine angenehmere Passform und extra Tragekomfort.

Beruflich & alltagsfreundlich

Diskrete Behandlung, die sich Ihrem Leben anpasst – perfekt für Events, Fotos und alltägliches Selbstbewusstsein ab dem ersten Tag.

Mehr erfahren

Was bedeutet KFO 360° eigentlich?

Lächeln ist einzigartig – genau wie unsere Betreuung. Von der Diagnose bis zur Behandlung nutzen wir moderne Technologien und unseren ganzheitliches Konzept KFO360°, um Ihre kieferorthopädische Behandlung angenehm, gelenkorientiert und individuell zu gestalten. Im Video werden unsere digitalen Behandlungsschritte vorgestellt.

Ist dies die richtige Spangen-Option für Sie?

Bei uns gibt es keine Einheitslösung. Jedes Lächeln ist einzigartig – wir helfen Ihnen, die Option zu wählen, die am besten zu Ihrem Lebensstil, Wünschen und Bedürfnissen passt.

Für Berufstätige & Vielsprecher

Ideal, wenn Sie beruflich viel sprechen oder im Rampenlicht stehen – bleiben Sie selbstbewusst ohne sichtbare Spange.

Für komplexe Zahnbewegungen

Eine feste, präzise Lösung, die komplexe Korrekturen diskret und effizient ermöglicht.

Jederzeit fotobereit

Ideal für Hochzeiten, Veranstaltungen oder Content-Erstellung – Ihre Behandlung bleibt auf jedem Foto unsichtbar.

Falscher Biss?

Vorher & Nachher

Sehen Sie, wie Lingualspangen das Aussehen und das Selbstvertrauen verändert haben

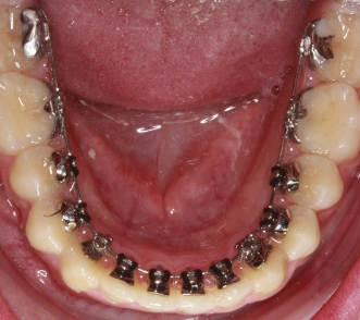
schiefe Zähne Eng stehende Zähne, sogenannter Erwachsenerengstand oder primärer Engstand
gerade Zähne (nach 5 Monaten) effektive Zahnbegradigung mit innenliegender Zahnspange, einer sogenannte Lingualtechnik

Ich hätte nie gedacht, dass sich meine Zähne innerhalb nur weniger Monate gerade hinstellen. Ich bin sehr zufrieden und würde es sofort wieder machen.

Fachzahnärztin für Kieferorthopädie Dr. Jilek zeigt jungen Mann eine Zahnspange hinter den Zähnen

treatment duration

5 Monate

Zufriedenheit

100%
Fachzahnärztin für Kieferorthopädie Dr. Jilek zeigt jungen Mann eine Zahnspange hinter den Zähnen
Severe Issues schiefe Zähne, die mit Brackets und einem Bogen gerade gestellt werden
Severe Issues schiefe Zähne mit Metallbrackets und Bogen zur Ergebnissimulation mit digitaler Planung und Knochenanalyse

I can't believe how stable my results are. Five years later and my smile still looks perfect. No more headaches either!

auf Erwachsenen Kieferorthopädie und auf Knirscherschienen spezialisierte Zahnärztin Dr. Yana Welker

Treatment Duration

18 months

Treatment Duration

18 months
auf Erwachsenen Kieferorthopädie und auf Knirscherschienen spezialisierte Zahnärztin Dr. Yana Welker
Als Master of Science Lingual Orthodontics behandelt Dr. Jilek eine junge Patientin mit der Lingualtechnik auf höchstem Niveau.

Pflege- und Wartungstipps

  • Tägliche Reinigung

    Putzen und reinigen Sie wie gewohnt – schenken Sie nur der Rückseite Ihrer Zähne etwas zusätzliche Aufmerksamkeit.

  • Achten Sie auf Ihre Mahlzeiten

    Vermeiden Sie klebrige oder sehr harte Lebensmittel, damit Ihre Zahnspange angenehm und unversehrt bleibt.

  • Komfort-Tipps

    Nutzen Sie orthodontisches Wachs, falls sich anfangs etwas rau anfühlt – das verbessert sich sehr schnell.

Bereit, unsichtbare Spangen zu entdecken?

Lassen Sie uns sprechen. Bei Ihrem ersten Besuch beantworten wir Ihre Fragen, zeigen Ihnen die Möglichkeiten und geben Ihnen einen Überblick über mögliche Behandlungen.
Termin buchen

Häufig gestellte Fragen

Sind Lingualspangen wirklich unsichtbar?

Genau! Sie werden hinter den Zähnen befestigt – niemand sieht sie, wenn Sie lächeln, sprechen oder lachen.

Fühlen sich Lingualspangen unangenehm an?

Es braucht ein wenig Eingewöhnung, besonders für die Zunge – doch die meisten gewöhnen sich innerhalb von ein bis zwei Wochen daran.

Kann ich damit ganz normal essen?

Ja, allerdings empfehlen wir, sehr harte oder klebrige Lebensmittel zu vermeiden. Sie werden schnell merken, was am besten funktioniert.

Beeinflussen sie meine Aussprache?

Anfangs kann ein leichtes Lispeln auftreten, aber keine Sorge – mit etwas Übung verschwindet es in der Regel schnell.

Sind Lingualspangen teurer?

Ja, sie ist teurer als die klassische feste Zahnpange an der Außenseite der Zähne, da sie individuell pro Patientenfall angefertigt wird und die Behandlung handwerklich schwieriger ist und ein höheres Spezialwissen erforderlich ist. Wir besprechen selbstverständlich alle Kosten und Zahlungsoptionen (wie z. B. monatliche Ratenzahlungen) im Voraus mit Ihnen.

Alle FAQs anzeigen